歯並びの悪さ、そのままにしておきますか?~矯正歯科治療であなたにもスマイルを~

歯列矯正は、乱れた歯並びや咬み合わせを整えるために行う治療です。歯並びの悪さが改善されれば見た目が美しくなるばかりか、咬み合わせがよくなってお口の機能性も向上し、全身の健康にもつながります。東京都狛江市の矯正歯科を専門に行う歯科医院「のむら矯正歯科」では、審美性と機能性の両面から向上を目指す矯正歯科治療を行っています。こちらでは、歯並びの悪さが招くさまざまなトラブル、矯正歯科治療で得られる多くのメリットについてご紹介します。
不正咬合を放っておいてもいいことはありません
歯並びや咬み合わせの乱れのことを「不正咬合(ふせいこうごう)」といいます。不正咬合は歯の機能だけでなく、お口全体の機能を低下させ、ひいては全身の健康にも悪影響をおよぼします。自力ではどうすることもできない不正咬合を根本から改善するには、矯正歯科治療が必要なのです。
悪い歯並びが引き起こすデメリット
| 食事がうまくできない(消化不良) | 咬み合わせが悪いと、食べ物を歯で噛み切ったり、しっかり咀嚼したりすることができません。よく噛まずに飲み込んでしまうと胃腸などの消化器官へ負担がかかり、消化不良を起こすケースもあります。 | 
|---|---|
| むし歯や歯周病になる | 歯ブラシが十分に行き届かないことから、みがき残しが多くなります。それによって細菌が増殖しやすくなるため、むし歯や歯周病が引き起こされるリスクが高まります。 | 
| 発音が不明瞭 | 不正咬合の種類にもよりますが、歯と歯の隙間から息が漏れたり、舌がうまく動かせなかったりすると、発音が不明瞭になったり滑舌が悪くなったりしがちです。 | 
| 顎関節症・肩こり・頭痛が起こる | 左右均等に咬み合わせることができないと、一部に力が集中して噛む際に動かす筋肉のバランスが悪くなります。それによって顎周辺がズレると、顎関節症や肩こりなどの不調を引き起こすことがあります。 | 
| 見た目の悪さがコンプレックスに | 歯並びだけでなく、口元や顔貌にも悪い影響を与えていることがあります。人前で喋ったり笑ったりするとき、見た目の悪さにコンプレックスを感じ、消極的になってしまう方も少なくありません。 | 
のむら矯正歯科が手がけた矯正歯科治療~症例紹介~
狛江市の「のむら矯正歯科」で治療を受けられた患者様の症例をご紹介します。
矯正歯科治療の症例 ビフォア&アフター
八重歯・乱杭歯(叢生)
- 
              

Before - 
               

After 
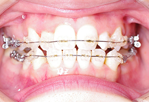
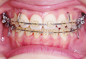
【途中経過】
- 
              

上下の歯を抜いてマルチブラケット装置にて上下顎歯列の排列を開始します。 - 
               

上下顎歯列のスペースを閉じて、上下顎歯列の咬み合わせの調整を行っています。 
| 主訴 | 八重歯 | 
|---|---|
| 診断名 | アングルⅠ級叢生症例 | 
| 初診時年齢 | 21歳1ヶ月 | 
| 装置名 | パラタルバー、アンカースクリュー、マルチブラケット装置(審美) | 
| 抜歯非抜歯 | 抜歯(上下顎左右側第1小臼歯) | 
| 治療期間 | 2年8ヶ月(通院回数34回) | 
| 費用の目安 | 治療費:781,000円、保定治療費:105,000円、処置料:5,500円×34回、アンカースクリュー27,500円 ※全て税込表記  | 
            
| リスク副作用 | マルチブラケット法を使用するので毎日のブラッシングが大切です。ことに凸凹が強かったので、後戻りが予測され、保定装置の使用時間、使用期間が重要になります。 | 
歯が並ぶスペースが足りないため、歯がデコボコして並んでいます。矯正歯科治療後は、全ての歯が整然と並び、緊密な咬み合わせが得られています。さらに上唇の上の引っかかりも解消され、すっきりとした口元になっています。
出っ歯(上顎前突)

Before
After
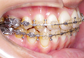
【途中経過】
- 
              

上の歯を抜いてマルチブラケット装置にて上下顎歯列の排列を行っています。 - 
               

上顎前歯の圧下を進めています。 
| 主訴 | 出っ歯 | 
|---|---|
| 診断名 | アングルⅡ級上顎前突症例 | 
| 初診時年齢 | 16歳3ヶ月 | 
| 装置名 | クワドヘリックス装置、ポータータイプの拡大装置、J-hookタイプのHG,マルチブラケット装置(金属) | 
| 抜歯非抜歯 | 抜歯(上顎左右側第1小臼歯) | 
| 治療期間 | 3年2ヶ月(通院回数45回) | 
| 費用の目安 | 治療費:748,000円、保定治療費:105,000円、処置料:5,500円×45回 ※全て税込表記  | 
            
| リスク副作用 | 上下顎歯列の拡大装置、マルチブラケット装置を使用するので、毎日のブラッシングが大切です。なお、HGの使用時間が治療の重要な鍵となります。出っ歯を治すには、前歯を後方に大きく移動させる必要があります。その影響による歯の歯根吸収のリスクを避けるには、移動時間に時間をかけるため、その結果、治療期間が長くなることがあります。 | 
上顎の大きな前歯が飛び出しており、口を閉じられませんでした。矯正歯科治療後は、歯並びだけでなく咬み合わせも改善し、バランスのよい美しい口元が得られました。口を閉じるのも楽になり、歯ぐきに起こりがちだった腫れも解消されています。
受け口(反対咬合)

Before
After
【途中経過】
- 
              

マルチブラケット法にて上下顎歯列の排列を開始します。 - 
               

顎間ゴムを利用して、下顎の歯を遠心移動します。 
| 主訴 | 受け口 | 
|---|---|
| 診断名 | 叢生を伴うアングルⅢ級下顎前突症例 | 
| 初診時年齢 | 18歳2ヶ月 | 
| 装置名 | クワドヘリックス拡大装置、マルチブラケット装置(審美) | 
| 抜歯非抜歯 | 非抜歯 | 
| 治療期間 | 2年4ヶ月(通院回数30回) | 
| 費用の目安 | 治療費:720,500円、保定治療費:105,000円、処置料:5,500円×30回 ※全て税込表記  | 
            
| リスク副作用 | マルチブラケット法を使用するので、毎日のブラッシングが大切です。そして、下顎の歯の後方移動のための顎間ゴムの使用時間がこの治療の鍵となります。さらに舌の置きところが狭くなるので、舌癖のトレーニングが必要です。 | 
下顎が前に突き出しており、さらに上顎の歯がデコボコできちんと咬み合っていませんでした。矯正歯科治療後は、歯並び・咬み合わせともに美しく整えられました。歯みがきも楽に行えるようになり、前歯の咬み合わせも良くなり、機能は十分に回復してます。
受け口(外科手術併用)

Before
After
【途中経過】
- 
              

術前矯正治療が終了し、顎固定のためのフックをつけています。 - 
               

手術後、上下顎のバランスが良くなり、術後矯正治療は、上下顎歯列の噛み合わせの微調整を行います。 
| 主訴 | 受け口 | 
|---|---|
| 診断名 | アングルⅢ級骨格的反対咬合症例(顎変形症) | 
| 初診時年齢 | 20歳5ヶ月 | 
| 装置名 | パラタルバー、マルチブラケット装置 | 
| 抜歯非抜歯 | 抜歯(上顎左右側第1小臼歯) | 
| 治療期間 | 2年6ヶ月(術前矯正治療1年6ヶ月、術後矯正治療1年) | 
| 費用の目安 | 保険診療適用 | 
| リスク副作用 | マルチブラケット装置を使用するので毎日のブラッシングが大切です。手術直前の6ヶ月には、1ヶ月に1回午前午後の通院が通常です。外科手術には7日前後の入院を必要とし、手術後には顔の腫れ、痺れなどがみられることがあります。さらに舌の置き所が狭くなるため、舌癖に対するトレーニングが必要です。 | 
下顎が大きく前に飛び出しているために、上下の前歯・小臼歯部は噛み合う部分が少なく、食事にも時間がかかっていました。顎の外科手術を伴う矯正歯科治療で、よい咬み合わせと美しい口元が得られました。奥歯をしっかりと咬み合わせたときに、前歯もきちんと閉じる正しい咬合です。マルチブラケット装置を外してからホワイトニングを施行しました。
矯正歯科治療を受けるメリット
| 食事がより充実する | よい咬み合わせでしっかり噛めるようになると、食事がより味わい深くなります。また、咀嚼が十分できて飲み込むことで消化や栄養の吸収もよくなり、全身の健康につながります。 | 
|---|---|
| デンタルケアがしやすくなる | 歯みがきがしっかりできるようになり、みがき残し(プラーク)が減ってむし歯などのお口のトラブルを未然に防げるようになります。また、咬み合わせを原因とする歯周病も起こりにくくなります。 | 
| しっかりはっきり発音できる | 歯並びが舌の動きを邪魔することがなくなるので、発音が明瞭にできることがあります。ひどい息漏れや気になっていた“癖のある話し方”などが改善されれば、おしゃべりがより楽しくなります。 | 
| 顔立ちが整う | 矯正歯科治療で歯並びを整えることによって、自然と顎の位置や顔の形まで整えられます。笑顔にも自信が持てるようになり、気持ちが晴れ晴れとした、前向きになったという方もたくさんいらっしゃいます。 | 
矯正歯科治療に伴う一般的なリスクや副作用について
治療中に起こりうる関連症状
- ① 矯正装置による不快感、痛みがあります。数日から1、2週間で慣れることが多いです。
 - ② 歯の動きかたは個人差があります。ことに大人の場合は子供より歯の動く速度は大変遅くなります。歯の動き方によっては治療期間が大幅に延長することがあります。
 - ③ 歯を動かすことにより歯根が吸収され短くなることがあります。また、歯茎が痩せて下がることがあります。
 - ④ ごく稀に歯が骨と癒着して歯が動かないことがあります
 - ⑤ ごく稀に歯を動かすことで神経に障害が出ることがあります
 - ⑥ 装置をつけることによって口腔内の不衛生域が拡大し、自浄作用が低下します
 - ⑦ 「顎関節で音が鳴る、顎が痛い、口が開けにくい」などの顎関節症状が出ることがあります。
 - ⑧ 金属などのアレルギー症状が出ることがあります。
 - ⑨ 歯の形を修正したり、かみ合わせの微調整を行う可能性があります。
 - ⑩ 上記の問題のため、治療計画の変更の可能性が出ることがあります。
 
治療後に起こる問題点
- ① 装置撤去時にエネメル質に微小な亀裂が入る可能性やかぶせ物の一部が損傷する可能性があります。
 - ② 現在のかみ合わせにあった状態のかぶせ物やむし歯の治療などをやり直す可能性があります。
 - ③ 保定装置を指示通りに使用しないと後戻りが生じる可能性が高くなります。
 - ④ 顎の成長発育によりかみ合わせや歯並びが変化する可能性があります。
 - ⑤ 親知らずの影響で凸凹が生じる可能性があります、加齢や歯周病により歯を支えている骨が痩せるとかみ合わせや歯並びが変化することがあります。
 - ⑥ 上記のような理由から再治療が必要な場合もあります。
 
治療に対する協力の重要性
- ① 動的治療時の通院の頻度は3週間から4週間ですが、頻度が増える時期もあります。
 - ② 次の治療日については、予約時に日程、曜日、時間を確認してください。
 - ③ 装置の使用状況、顎間ゴムの使用状況、定期的な通院など矯正歯科治療には患者さんの協力が非常に重要であり、それらが治療結果や治療期間に大変影響します。
 - ④ 可徹式装置の使用頻度、使用時間、取り扱いを説明しますので、守ってください。
 - ⑤ 保定装置は指示通りに使用して下さい。その洗浄方法も説明します。
 
口腔衛生管理の重要性
- ① 現在の口腔清掃状態を提示した上で、口腔状態にあった清掃方法をお教えします。
 - ② 現在のう蝕・歯周疾患の状態を提示します。必要があれば、歯科での治療を優先します
 - ③ 治療中は装置が付いているため、歯が磨きにくくなります。むし歯や歯周病のリスクが高まりますので、丁寧に磨いたり、定期的なメインテナンスを受けたりすることが重要です。また、歯が動くと隠れていたむし歯が見えてくることもあります。口腔衛生管理は毎日のことですので、自己管理が重要です。ご本人ができなければ、保護者の方にお願いすることもあります。
 






03-3488-8882




